岡田歯科

東三河地区のインプラント
お任せください

このようなお悩みは
ありませんか?
TROUBLE

このようなお悩みを
お持ちの方には
インプラント治療が
おすすめです
当院ではインプラント治療の相談を行っております。
まずはお気軽にご相談ください。

FEATURE

FEATURE01
短期間の治療

メガジェンの抜歯即時治療では、ワイドショートインプラントを使用し、治療を短期間で完了します。最短10週間で治療が完了するため、患者様にとって負担の少ない迅速な治療が可能です。

FEATURE02
整った環境で不安を軽減

インプラント治療は外科手術となるため、滅菌をしっかりと行った器具を用いて行います。
また、生体管理モニター、AED、酸素ボンベを常備し、
非常勤麻酔医または認定麻酔医チームとの連携をとりながら行います。
手術の際は診療室に他の患者様を一切入れず手術対象の患者様のみで行います。

生体管理モニター
AED
酸素ボンベ
オートクレーブ滅菌
痛みや不安感を和らげるために
脈内鎮静法

静脈内鎮静法とは、鎮静剤を静脈に投与することでリラックスして眠りにつく方法です。全身麻酔とは異なり、呼びかけに反応することができる程度の意識は残ります。
施術は麻酔専門医が行い、手術中は全身状況の監視を行いながら投与を行いますのでご安心ください。治療が不安な方はぜひ一度ご相談ください。

麻酔科専門医
M's dental office
佐橋 倫恵
FEATURE03
徹底した診断での
インプラント治療

インプラント治療において、口腔内の状態が把握できていないと神経や血管を傷つけてしまう可能性があります。そのため、術前にはCT撮影や模型での噛み合わせ分析などを行っています。
様々な資料や歯科用デジタルレントゲンに加えて、3DCT画像による手術部位の分析を徹底することで、より安心・安全にインプラント治療を行うことができます。

サージカルガイドを
使用しています

より安全にインプラント治療を受けていただけるように、「サージカルガイド」を導入しています。サージカルガイドを使用することで、インプラント埋入時にドリルがぶれることなく着地点や角度を正確に導くことができます。事前にCT撮影による口腔内の情報と3D口腔内スキャナーは3Sape社のTRIOSで採取した情報をもとに、分析ソフトはSimPlant(シムプラント)を使用し、コンピューター上にてシミュレーションを行い、3Dプリンターにてサージカルガイドを作製します。

FEATURE04
定期メンテナンスで
治療後も
しっかりサポート

どんなに的確なインプラント手術を行っても、毎日のケアを怠ればインプラントを埋め込んだ周囲が炎症を起こしてしまいます。インプラントの大敵でもある歯周病予防や、残っている歯を健康に保っていくためにも、治療後はメンテナンスに通院をしていただいています。インプラントをより長く使用していただくためにも、2ヶ月~半年に1度は必ず来院ください。

FEATURE05
患者様に合わせた
インプラント治療
抜歯と同時にインプラントを埋入する
抜歯即時インプラントにも対応

抜歯即時インプラントとは、抜歯と同時にインプラントを埋入する方法です。
通常のインプラント手術では、抜歯後に穴がふさがるのを待ってから治療を開始しますが、抜歯即時インプラントでは抜歯した当日にインプラント埋入までを行います。
外科処置の回数を減らし、治療期間の短縮をはかります。
抜歯即時インプラントに対応ができない場合もございますのでぜひ一度お問い合わせください。

CONTACT

当院ではインプラント治療の相談を行っております。
まずはお気軽にご相談ください。
-他院で治療を断られてしまった方へ-
骨造成処置・粘膜移植にも
対応しています

骨の量が原因で治療を断られてしまった方でも、高度な技術が必要となりますが骨造成や骨移植を行うことでインプラント治療を受けられる可能性があります。

ソケットリフト

上顎の奥歯の骨の量が足りなくて治療ができない場合に行う方法です。
上顎の下から穴を開けて、隙間をつくり、再生療法や骨移植などで骨の量を補う方法です。

GBR
(骨組織誘導再生法)

抜歯などによって吸収され消失してしまった歯槽骨を再生させたり、骨の高さや幅がない場合に骨造成で骨量を増やす方法です。

粘膜移植手術

歯肉が痩せてしまい、薄くなっている場合に用いる方法です。患者様ご自身の結合組織のみを採取して移植をすることで、歯肉も安定しアレルギー反応もなくインプラント手術を行うことができます。

FLOW

01
カウンセリング

患者様のお口の中のお悩みなどをお伺いします。現在の状態のご説明と、考えられる治療のオプションをお話し、どのような状態が一番良いかご相談させていただきます。

当院ではインプラント治療の相談を行っております。
まずはお気軽にご相談ください。
02
CT・スキャナーによるデジタル診断

歯科用デジタルレントゲンに加え、3DのCTによる手術部位の分析、全身の状態のチェックなど、資料をそろえて術前の分析を行います。また、3D口腔内スキャナー(TRIOS)を使用して採取したデータとCTによる分析結果を融合し、3Dプリンターを使用してサージカルガイドを作製しています。サージカルガイドを用いることで、インプラント埋入時の位置や深さ、角度を細かく設定することができ、負担の軽減や手術時間の短縮に繋がります。

03
治療計画ご提案

検査でそろえたデータをもとに、精度の高い診断を行います。治療・計画・費用のプランを患者様にご提案し、ご相談の上で治療の方法を決定します。また、全身状態の確認もさせていただきます。
気になる点、ご不安なことなど何でもご相談下さい。

04
一次手術

歯肉を切開し、顎の骨にチタン製のインプラント体を埋入して歯肉を閉じます。局部麻酔を行いますので、治療中の痛みはほとんどありません。インプラントが少数本の場合は、翌日から通常の生活を送ることが出来ます。多少の違和感はありますが、気になるほどではなく、食事も特に変わりません。

05
安静期間

当院で採用しているインプラント体は骨との結合性に優れているため、手術後、ストローマン社で基本12週。メガジェン社の場合8週から10週でインプラント体が顎の骨と結合します。(この期間は症例により異なります。)
手術直後と上部構造制作時にオステルによりISQ値(インプラント安定指数)を測定して科学的に評価しています。

06
仮歯の作成

必要性が認められる場合、まずは仮歯で様子を見て咬み合わせや形態などを確認します。問題がないようなら、最終修復物を作製します。仮歯を作らない施設もあるようですが、当院ではこのステップでの確認を重要と考えております。
奥歯は噛み合わせの安定が得られていない症例に製作します。

07
最終上部構造(人工歯)の装着

精密な型を採り、人工歯を作製します。完成した人工歯をインプラント体に装着し、完成です。

08
メンテナンス

残っている歯を歯周病やインプラント周囲炎から守り健康に保つためには、治療終了後のメンテナンスが重要です。少しでも長く、快適にインプラントを使用していただくためにも、2ヶ月~半年を目安にメンテナンスにご来院いただくようお願いしております。

インプラント周囲炎に
ご注意ください

インプラント自体は人工物のため、むし歯や歯周病の心配はありません。しかし、周囲の歯肉や骨は天然のため、毎日のケアを怠ってしまうとインプラント周囲の歯肉や顎の骨が溶けてしまい、最終的にはインプラントを支えることが困難になってしまいます。
せっかく入れたインプラントを歯周病によって失うことがないように、メンテナンスにお越しください。

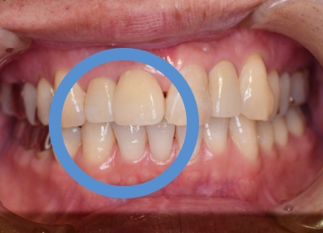
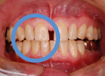
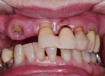
CASE

CASE01
上部構造装着
Before
After
CASE02
上部構造装着
Before
After
CASE03
アバットメント装着・上部構造装着
Before
After
CASE04
上部構造装着
Before
After

CONTACT

当院ではインプラント治療の相談を行っております。
まずはお気軽にご相談ください。

治療費・お支払方法
FEE

CT撮影等検査のお支払額
¥20,350(税込)
治療計画の立案、データーを元にした 診査・診断料
¥33,000(税込)
CTデータ変換企業を使用する場合
wax up,SIMPLANT
※症例により料金が異なります。
¥29,700以上(税込)
手術用サージカルステント
(外科用ガイド)
¥31,900(税込)/(1ホール)
¥35,200(税込)/(2ホール)
(症例により変わります)
インプラント埋入(1本)
¥198,000(税込)以上
2次手術
¥11,000(税込)以上
上部構造物(人工歯1本)
¥193,600(税込)以上
インプラント定期検診
(1年間の管理)(1口腔単位)
¥14,000(税込)/年間
(GBR)骨造成
¥110,000(税込)以上
上部構造間のポンテック
¥110,000~(税込)以上

※表示は全て税込表示です。
※処置や本数によって費用は異なりますので 一度ご相談ください。

- お支払方法 -
当院は、現金または各種クレジットカードでのお支払いが可能です。
JCB / AMERICAN EXPRESS /Diners / VISA / MasterCard
療費控除

インプラントの治療費は医療費控除の対象となることがあります。
医療費控除とは、自分自身、または生計を一にする配偶者やその他の親族のために1年間で10万円以上の医療費を支払った場合に、一定の金額を所得金額から控除できる制度です。(その年の1/1~12/31までに支払った医療費であること)詳しくはお気軽にお尋ねください。

インプラント治療のエキスパートが
提供する安心と信頼

学生時にインプラントの授業に惹かれ、医療法人弘進会宮田歯科 インプラントの基礎から指導してもらい、その後開業後 難しい症例に対応できるよう、愛知インプラントセンターの堀田康記先生に師事し、難しい症例も治療できるよう指導していただき、日本口腔インプラント学会の専修医、専門医まで導いていただき、今の現在があります。
インプラントを長持ちさせるために(天然の歯)JIADSに入会し、現状に満足することなく上質なインプラント治療を行うために研鑽を積んでおります。

院長
Masamichi Okada

GREETING

略歴
  • 昭和59年3月
    日本歯科大学卒業
  • 昭和59年4月
    医療法人社団弘進会宮田歯科
    南品川診療所勤務
    入局しインプラントの基礎から指導してもらう
  • 昭和62年4月
    医療法人社団弘進会宮田歯科 大崎診療所副院長勤務
  • 昭和63年6月
    岡田歯科開院
  • 平成24年  
    公益社団法人日本口腔インプラント学会専門医
所属学会・認定医など
    所属学会
  • 公益社団法人)日本口腔インプラント学会
    愛知インプラントインスティテュート
    スタディクラブ  JIADS CLUB TOKYO
  • 認定医
  • 公益社団法人)日本口腔インプラント学会
    ・平成21年専修医取得
    ・平成24年専門医取得

医院情報
CLINIC

愛知県豊川市千歳通4-8 ハクヨメディックス3F
0533-86-8241
診療時間
09:00~13:00
14:30~18:30

休診日:木曜、土曜15:00以降、日曜・祝祭日
▲・・・9:00~15:00

CONTACT

当院ではインプラント治療の相談を行っております。
まずはお気軽にご相談ください。

FAQ

CONTACT

お名前*
ふりがな
ご住所
電話番号*
メールアドレス*
お問い合わせ内容*
個人情報保護方針*

プライバシーポリシー
患者様のプライバシーを尊重し個人情報に対して十分な配慮を行うとともに、大切に保護し、適正な管理を行うことに努めております。

【個人情報の利用目的】
a)患者様のご要望に合わせたサービスをご提供するための各種ご連絡。
b)お問い合わせいただいたご質問への回答のご連絡。

公正かつ適正な手段で、上記目的に必要となる個人情報を収集します。
要配慮個人情報を取得する際は、ご本人の同意を得るものとします。
取得した個人情報は、ご本人の同意なしに上記利用目的以外では利用しません。
情報が漏洩しないよう対策を講じ、従業員だけでなく委託業者も監督します。
法令により認められる場合を除き、ご本人の同意を得ずに第三者に情報を提供しません。
ご本人からの求めに応じ、当該ご本人の個人情報を開示します。
公開された個人情報が事実と異なる場合、訂正や削除に応じます。
個人情報の取り扱いに関する苦情に対し、適切・迅速に対処します。
本個人情報保護方針は、当サイト内のみ適用されるものです。